Come pelo
-
Destacados

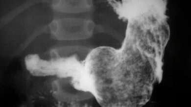
Síndrome de Rapunzel: la historia de la niña de que se arrancaba y tragaba su cabello compulsivamente
Un hospital checo anunció este martes que sus cirujanos retiraron una madeja de pelo del tamaño de un vaso de…
Leer más »

Un hospital checo anunció este martes que sus cirujanos retiraron una madeja de pelo del tamaño de un vaso de…
Leer más »