variante delta
-
COVID-19

Variante Delta «Mutar hasta extinguirse»: Extraño curso de la mutación que desconcierta a científicos en Japón
Tras vivir la peor ola de coronavirus en verano, los casos en Japón se han desplomado de forma desconcertante. Genetistas…
Leer más » -
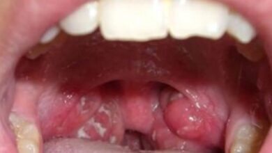
COVID-19

Los síntomas de la variante Delta del Covid-19 más fáciles de detectar
La variante Delta del coronavirus, identificada por primera vez en la India y que arrasa en casi todo el mundo,…
Leer más » -
COVID-19

Rusia prepara una nueva vacuna antiCovid contra la variante Delta
El Centro Científico Federal de Investigaciones y Desarrollo de Fármacos Inmunobiológicos M.P. Chumakov está preparando una nueva vacuna contra la…
Leer más » -
Internacionales

Ola récord de la variante Delta golpea fuertemente a los niños de EEUU
Justo cuando Estados Unidos está reabriendo las puertas de sus escuelas, las camas de hospital se están llenando de niños…
Leer más » -
Internacionales

La variante Delta es responsable del 93% de los casos de Covid-19 en EEUU
La variante delta supuso más del 93 % de los nuevos casos de covid-19 en Estados Unidos durante las dos…
Leer más » -
Destacados

La variante delta llega a Wuhan, la cuna del coronavirus
La ciudad china de Wuhan, cuna del covid-19, anunció el martes test masivos a toda la población por el avance…
Leer más » -
COVID-19

EEUU: La variante delta puede ser tan contagiosa como la varicela
La variante delta de la covid-19 al parecer causa una enfermedad más grave y es tan contagiosa como la varicela,…
Leer más » -
Destacados

Variante Delta del Covid-19 obliga a endurecer las restricciones en todo el mundo
La variante delta arrecia, obligando a las autoridades a endurecer las restricciones sanitarias, con confinamientos locales en China, soldados en…
Leer más » -
Destacados

OPS no tiene evidencia de circulación de la variante Delta en Venezuela (Video)
La Organización Panamericana de la Salud (OPS) aclaró que hasta el momento no tienen confirmación sobre la presencia de la…
Leer más » -
Internacionales

La variante delta del coronavirus se propaga en China y llega a la capital
El último brote de covid-19, aunque limitado, se propaga a varias provincias de China, incluida Pekín, anunciaron este jueves las…
Leer más »









